こんにちは🔆
本日は、マウスピース矯正を始めた患者様kさんの矯正記録を書いていきたいと思います♪
・
kさんは、交叉咬合と叢生が混合の嚙み合わせです。
交叉咬合とは上下の歯が噛み合う際に交差している状態で、叢生とは歯と歯が重なり合ったり前後互い違いになって生えている状態です!
どちらも歯並びや噛み合わせが正しくない状態で、見た目や健康にさまざまな影響を与える可能性のある不正咬合です。
・
・
kさんは令和6年の4月から矯正をスタートしました🌈
現在では、1クール目が終了し2クール目に突入したところです!
・
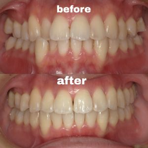
では、矯正前と現在を比較してみましょう!


矯正前に比べると、特に下の歯の歯列が綺麗に揃ってきましたね!
また前歯のガタつきもなくなりましたね!
・
・
kさんの次の変化が楽しみです🩵
これからも一緒に綺麗な歯並び目指してがんばっていきましょう💪🏻
・
インスタグラムにて患者様のマウスピース矯正について掲載してます!
ぜひ覗いてみてください❤️
Instagram ▷▶▷ @tomonari.dental.office
・
・
・
インビザライン/マウスピース矯正/不正咬合/叢生/交叉咬合/広島中区歯科/矯正記録