こんにちは🔆
本日は、マウスピース矯正を始めた患者様Fさんの矯正記録を書いていきたいと思います🩷
・
kさんは、3種類(切端・反対・叢生)の不正咬合が組み合わされている噛み合わせです💦
切端咬合・・・上下の前歯の先端が直接接触する状態
反対咬合・・・上下の歯が正しく噛み合わない状態
叢生・・・歯が不規則に生えたり、重なり合っている状態
・
・
kさんは今年の令和7年3月から矯正をスタートしました🌈
現在1クール目が終わり、2クール目へ突入しようとしているところです!
・
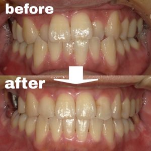
では、矯正前と現在を比べてみましょう💡
まずは正面からです!

交差されている歯がまっすぐ揃ってきましたね☺️❤️
続いて上下の噛む面です!

前歯のガタガタしているところが綺麗に並んできましたね👍🏻
・
・
kさんの次の変化が楽しみです🩵
2クール目も引き続き経過を見ていきたいと思います!
これからも一緒に綺麗な歯並び目指してがんばっていきましょう💪🏻
・
・
当院では矯正無料カウンセリングを行っております♪♪
歯並び気になる!矯正したい!などお悩みありましたらお気軽にご相談くださいませ🌷
・
・
・
インビザライン / マウスピース矯正 / 不正咬合 / 上顎前突 / 広島中区歯科 / 矯正記録