広島市の「痛くない」オシャレな歯科医院|医療法人LEPIUS 友成デンタルオフィス

ホワイトニング症例 | 友成デンタルオフィス

こんにちは🔅
本日は当院オススメ『オフィスホワイトニング』についてご紹介したいと思います♪♪

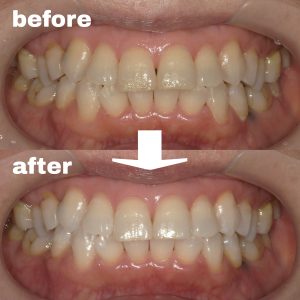
本日ご紹介する患者様は60代前半の患者様です。
治療内容:オフィスホワイトニング
プラン:スペシャルプラン(16回照射)※B1までの保障制度付き
通院回数:4回
では、照射前と後で比較してみましょう💡


とても自然に白く大変身してますね!
患者様もとても大満足されてました👍🏻🩷

自分の歯のトーンはどれくらいなの?と気になる方もいらっしゃると思います!
当院では患者様1人1人に寄り添って、無料カウンセリングを行っております!
無料カウンセリングでは、歯の色見本(シェードガイド)を使って自分の歯のトーンを確認することができ、理想の歯の色を見つけることが出来ます🌷
お気軽にご相談くださいませ✨

インスタグラムにてホワイトニングの症例を掲載しているのでぜひ覗いてみてください🩵
Instagram ▷▶▷ @tomonari.dental.office


ホワイトニング/セラミック/インビザ/ラミネートベニア/ブルーラジカル/広島中区歯科