こんにちは🌷
本日は当院大人気!ホワイトニングをご紹介しようと思います🩵
・
・
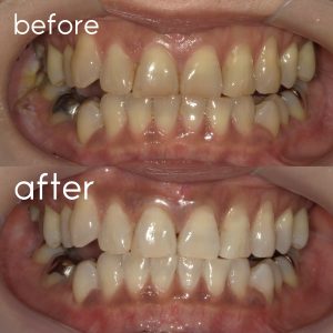
本日ご紹介する患者様は50代後半女性の患者様です!
・
治療内容:オフィスホワイトニング16回照射
通院回数:4回
では、照射前と後で比較してみましょう💡

とても自然に白くなりましたね💎
毎日鏡を見るのが楽しみ♪と喜ばれてました😊
今後はもう少し白くしたいとのことで追加でホワイトニングする予定です!
・
当院では期間限定でホワイトニング新春キャンペーンを行っております!
大人気のホワイトニングが今だけ36%オフでできるとてもお得な内容です!
🌱キャンペーン内容
ホワイトニング10回照射+メンテナンス3回照射(3~6ケ月以内)
💰費用
通常¥85,500(税込)→¥55,000(税込)
🗓期間
2026/1/5(月)~2026/1/31(土)
・
当院ではホワイトニング無料カウンセリングを行っております🔆
歯の色が気になる!イベント前に白くしたい方!お問い合わせお待ちしております🩷
・
・
・
・
ホワイトニング/セラミック/インビザ/ブルーラジカル/広島中区歯科