こんにちは🌈
本日はマウスピース矯正を終えられた患者様Uさんの矯正記録をご紹介いたします🩷
・
Uさんは令和6年3月より矯正治療を開始し、令和8年2月に無事フィニッシュされました👏🏻
もともとは、開咬(奥歯は噛んでいるのに前歯が噛み合わず、上下の歯に隙間が出来ている状態)で、噛み合わせのバランスにお悩みでした。
・
この状態だと、
〇前歯で食べ物が噛み切れない
〇発音がしづらい
〇見た目が気になる
といったお悩みに繋がることがあります💦
・
原因としては、
〇舌の癖
〇指しゃぶり
〇歯並びや顎のバランス
などが関係していることがあります!
・
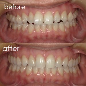
では、矯正前と矯正後を比べてみましょう💡
①正面

②横から


前歯の隙間が改善し、しっかり前歯で噛める状態になりました👏🏻
見た目が整っただけでなく、機能的にも噛みやすい歯並びへと改善されています😊❤️
・
矯正後は歯が元の位置に戻ろうとするため、
リテーナー(保定装置)の装着が大切です💪🏻
当院では、矯正終了後も5年間の保障制度がございます。
安心して矯正治療を受けていただけるようにサポートしております🙇🏻♀️
・
歯並び気になる!矯正を始めるか迷っている!などお悩みありましたら、
お気軽にお問い合わせくださいませ💞
患者様1人1人に合わせた治療方法をご提案致します🩵
・
・
・
インビザライン/矯正/セラミック/ホワイトニング/広島中区歯科